Mudança em bases ósseas maxilar e mandibular, com
repercussão na fisionomia.
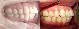
Um dos maiores diferenciais desse trabalho é a possibilidade de criar espaços ósseos para erupção e melhor posicionamento dentário, inclusive dos sisos, evitando-se , em muitos casos, extrações e cirurgias ortognáticas em correções de mordida aberta, retrognatismo(queixo para trás) e prognatismo(queixo para frente), bem como desvios posturais e deformidades maxilares e mandibulares. Ao final, arcadas e rostos mais harmoniosos e incremento do espaço interno de boca e faringe.







